Содержание
Что происходит после экстракции
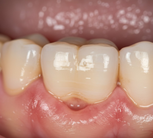
Удаление зуба, будь то зуб мудрости или другой, может быть неприятной процедурой. Однако после процедуры возникает новая забота – появление лунки. Что это такое, как выглядит лунка после удаления зуба и как следует ухаживать за ней?
Что такое лунка?
Лунка после удаленного зуба – это пустое пространство в десне, которое остается после извлечения зуба. Если вы не уделяете должного внимания уходу за лункой после удаления, могут возникнуть проблемы.
Что происходит после экстракции
После удаления зуба происходит ряд процессов, которые влияют на заживление лунки:
- Кровотечение. Лунка вырванного зуба начинает кровоточить. Обычно врач накладывает васкулярные швы, чтобы остановить кровотечение. Или предлагает другие методы остановки.
- Образование сгустков крови. Сгусток крови образуется в лунке и является частью естественного процесса заживления.
- Воспаление. Начальное воспаление – это нормальная реакция организма на травму. Однако, если оно становится слишком сильным или продолжается долго, это может привести к осложнениям.

- Формирование новой ткани. Лунка через неделю после удаления зуба покрывается свежим эпителием, в ней начинается процесс формирования новой ткани. Которая сначала состоит из фиброзной ткани, а затем постепенно превращается в костную ткань под десной.
Как ухаживать
Правильный уход за лункой после удаления зуба играет важную роль в процессе заживления и может помочь избежать осложнений. Вот некоторые важные шаги:
- Соблюдайте инструкции врача. Ваш стоматолог предоставит вам инструкции по уходу за полостью рта после процедуры. Это может включать в себя рекомендации по питанию, лекарства и уходу за раной. Важно следовать этим советам.
Управляйте болезненностью. Лунка после удаления 8 коренного зуба обычно некоторое время болит или доставляет дискомфорт. Врач обычно предоставляет рецепт на анальгетики. Применять их следует согласно инструкции. Лунка на второй день после удаления болит уже меньше или совсем не беспокоит, и необходимость в обезболивающих отпадает.- Проводите гигиеническую процедуру рта осторожно. После удаления зуба важно сохранить уход за ротовой полостью. Однако делайте это осторожно, избегая чрезмерного промывания и чистки вокруг лунки, чтобы не нарушить заживление.
- Избегайте тяжелых физических усилий. Первые несколько дней после удаления зуба старайтесь избегать интенсивной физической активности, чтобы предотвратить возможное повреждение лунки.
- Исключите определенные продукты из рациона. Врач может посоветовать вам избегать определенных продуктов, таких как жесткая и горячая пища, которая может повредить лунку или вызвать боли.
- Следите за признаками осложнений. Если вы замечаете усиление болей, отек, гной, или другие признаки осложнений, обязательно сообщите об этом вашему врачу.
Время на заживление
Ранка после удаления зуба заживает в разные промежутки времени. Рубцевание зависит от многих факторов, включая сложность процедуры, ваше общее здоровье и соблюдение рекомендаций врача. Обычно, первые несколько дней являются наиболее критическими. Сгусток крови должен оставаться в лунке, чтобы помочь в заживлении. Через несколько недель новая костная ткань начнет формироваться, но полное восстановление может занять несколько месяцев.
Осложнения после удаления
Хотя большинство случаев удаления зубов проходят без осложнений, иногда могут возникнуть проблемы. Врач расскажет вам как должна выглядеть лунка зуба после удаления, и на что следует обратить внимание, если не исключается вероятность развития осложнений. Вот несколько ситуаций, которые могут возникнуть:
Инфекция. Инфекция может возникнуть, если не соблюдаются стерильные условия во время процедуры или если не соблюдаются рекомендации по уходу после удаления зуба. Чтобы избежать инфекции, важно соблюдать инструкции врача.
Альвеолярный остеит. Это осложнение проявляется в виде боли и воспаления в лунке после удаления зуба. Для предотвращения альвеолярного остеита важно избегать курения, использования соломинок, а также следовать рекомендациям врача и соблюдать лечебный режим.
Повреждение соседних зубов или тканей. Во время процедуры удаления зуба важно, чтобы врач избегал повреждения соседних зубов или тканей. Это может быть связано с определенными медицинскими индивидуальными факторами, поэтому важно выбрать опытного стоматолога.
Кровотечение. Лунка после сложного удаления зуба особенно подвержена развитию кровотечения. Для его предотвращения важно соблюдать рекомендации врача, не травмировать область отсутствующего зуба и не принимать аспирин или антикоагулянты без согласования с врачом.
Заключение
Мы рассмотрели, какая должна быть лунка в челюсти после удаления зуба и как за ней ухаживать, чтобы предотвратить осложнения. Восстановление произойдет гораздо быстрее, если вы будете полностью следовать рекомендациям стоматолога.

Управляйте болезненностью. Лунка после удаления 8 коренного зуба обычно некоторое время болит или доставляет дискомфорт. Врач обычно предоставляет рецепт на анальгетики. Применять их следует согласно инструкции. Лунка на второй день после удаления болит уже меньше или совсем не беспокоит, и необходимость в обезболивающих отпадает.